Un ECG.
Se realizó un ECG a 25 mm/s, 1mV=1cm, derivación base-ápex. Identifica en el ECG las principales ondas y si hay arritmia o no.

Se confirma la taquicardia (100 ppm), cada complejo QRS no siempre viene precedido de su onda P, se solapan onda P y T mostrándose una taquicardia ventricular.
Ecocardiografía
![]() |
![]() |
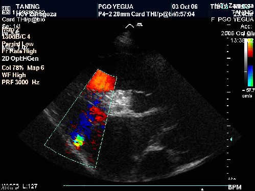
La imagen 1 es un corte de eje largo parasternal derecho. Hay dilatación o sobrecarga del VD.
La imagen 2, modo M se observa una buena dilatación del ventrículo izquierdo. Corte en eje corto parasternal derecho a nivel de músculos papilares. Esta imagen está normal y sirve para demostrar que el corazón se contrae y funciona bien.
Análisis de sangre
También se solicitó un análisis de sangre con perfil muscular y hematológico.