
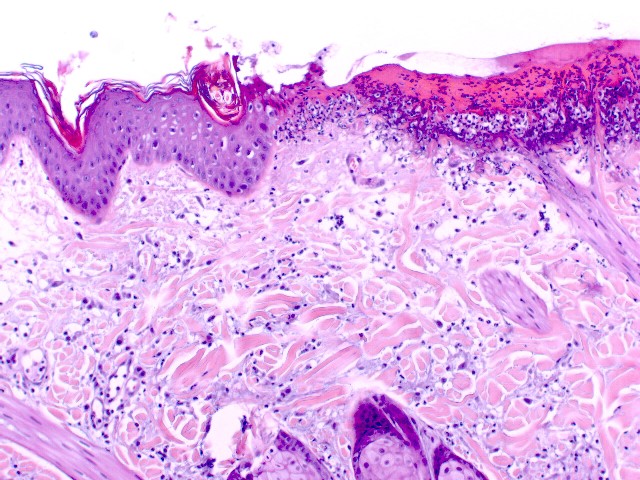
Fig.2. Biopsia. Hiperplasia epitelial irregular con hiperqueratosis ortoqueratótica, paraqueratosis focal. Ulceración y necrosis de la parte externa de la dermis e infiltrado de neutrófilos degenerados.

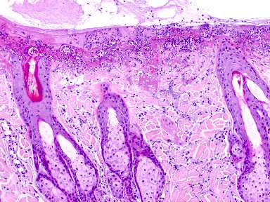
Fig. 3 Biopsia. Infiltrado inflamatorio de perivascular a intersticial de mastocitos, eosinófilos y neutrófilos