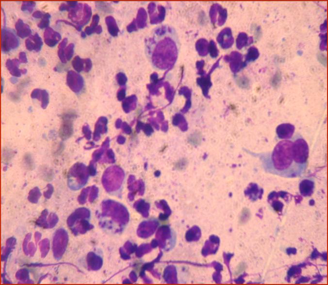
Teniendo en cuenta el tipo de lesión (pápulo-nodular) la citología es el método diagnostico más rápido y económico del que disponemos en la clínica y que nos ayuda a diferenciar en una primera aproximación diagnóstica si se trata de un nódulo de origen inflamatorio o neoplásico. En este caso, se realizó una citología por punción y aspiración con aguja fina de los nódulos que reveló la presencia de células inflamatorias: algunos neutrófilos y abundantes macrófagos (reacción piogranulomatosa). En el citoplasma de estos últimos se observaron estructuras de forma triangular con un punto basófilo compatibles con amastigotes de Leishmania spp. (fig. 5).
![]() |
Fig.5. Imagen microscópica de la aspiración de un nódulo. Se observan neutrófilos y macrófagos con amastigotes de Leishmania en su interior.