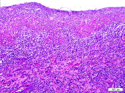
Si bien sería suficiente para establecer el diagnóstico definitivo con la prueba citológica cuando se ha podido observar el agente sospechoso; consideramos que una biopsia acompañada de una tinción inmunohistoquímica confirma los hallazgos citológicos y nos muestre el patrón histopatológico compatible. Además, en nuestra experiencia, nos aporta (con elevada capacidad diagnóstica) el diagnóstico definitivo cuando no se haya podido visualizar el parásito por citología. En este caso el resultado de la biopsia fue el de una dermatosis nodular con un infiltrado rico en linfocitos, células plasmáticas y macrófagos (fig. 6) con amastigotes en el interior del citoplasma que se evidenciaron mediante técnicas de inmunohistoquímica.
Por otra parte, en cualquier cuadro de leishmaniosis realizamos un perfil bioquímico completo, análisis hematológico y proteinograma (fig.7) para completar el estudio clinicopatológico. También consideramos importante cuantificar el título serológico frente a Leishmania infantum por DAT, cuyos resultados se pueden observar en la
Las pruebas realizadas confirmaron que nuestro paciente tenía una leishmaniosis y que ésta era la responsable de la aparición de los nuevos signos clínicos cutáneos. Es decir, tenemos un perro que presenta signos de alergia desde los dos años de edad y además leishmaniosis desde los tres.
![]() |
![]() |
| Fig.6.Imagen microscópica de la biopsia de un nódulo. Infiltrado inflamatorio rico en linfocitos; y células plasmáticas. | Fig.7.Imagen del proteinograma con una gran banda de beta y gamma globulinas. |
Tabla I: Alteraciones clinicopatológicas halladas en los análisis laboratoriales realizados en Fabio.
| Resultado | Valor de referencia | |
| Proteínas Totales | 9,8 g/dl | 5,7-7,5 |
|
globulinas |
6,2 g/dl | 0,4-1 |
| Albumina | 1,0 g/dl | 2,3-4,6 |
| Título de anticuerpos de leishmania infantum (DAT) | 1:6400 | 1:400 |